



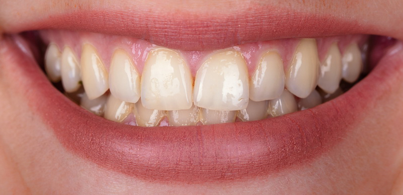
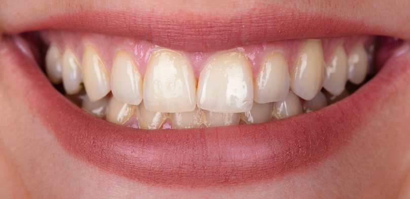
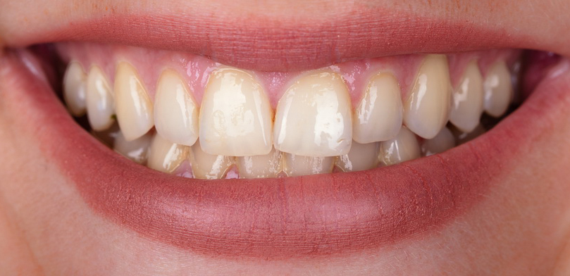
Превосходный результат за 1 применение.
Безопасное отбеливание последнего поколения FLASH – эффективный метод осветления зубов.
Лампа для отбеливания зубов FLASH – это светодиодное оборудование, основанное на LED-технологии. Ткани зуба не нагреваются, а гель аккуратно активируется, поэтому отбеливание более бережное, комфортное и безболезненное.
Усовершенствованная технология была одобрена ВОЗ, поскольку практически исключает вероятность деминерализации зубной эмали, позволяя сделать зубы белыми без риска для их здоровья. Показано при отбеливании даже сильных пятен и пигментации, а так же для зубов с высокой чувствительностью и тонкой эмалью.
отбеливание FLASH


НЕ ЯВЛЯЕТСЯ ПУБЛИЧНОЙ ОФЕРТОЙ. ЦЕНЫ, ПРЕДСТАВЛЕННЫЕ НА САЙТЕ НОСЯТ ОЗНАКОМИТЕЛЬНЫЙ ХАРАКТЕР.
ИМЕЮТСЯ ПРОТИВОПОКАЗАНИЯ. НЕОБХОДИМА КОНСУЛЬТАЦИЯ СПЕЦИАЛИСТА.