



Здоровые зубы начинаются с гигиены!
Для поддержания красоты и здоровья зубов мы предлагаем комплекс профессиональных гигиенических и профилактических мероприятий с применением современного ультразвукового аппарата Piezon master и вспомогательной процедуры воздушно-абразивной обработки зубов аппаратом Air –Flow.


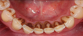
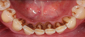
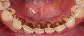
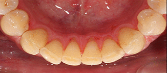
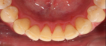
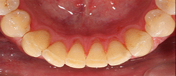
Во время профессиональной гигиены удаляется мягкий и твердый зубной налет, зубы становятся светлее на 1-2 тона, завершающим этапом процедуры является укрепление эмали фторсодержащими препаратами.
Для сохранения зубов и профилактики пародонтита комплекс профессиональной гигиены необходимо проходить не реже 2 раз в год. При ортодонтическом лечении - чаще. Профессиональная гигиена также должна проводиться перед лечением и удалением зубов, протезированием, профессиональным отбелива-нием и имплантацией.
Профилактика — основной способ сохранить здоровье зубов и дёсен
Профгигиена комплекс 4 в 1


НЕ ЯВЛЯЕТСЯ ПУБЛИЧНОЙ ОФЕРТОЙ. ЦЕНЫ, ПРЕДСТАВЛЕННЫЕ НА САЙТЕ НОСЯТ ОЗНАКОМИТЕЛЬНЫЙ ХАРАКТЕР.
ИМЕЮТСЯ ПРОТИВОПОКАЗАНИЯ. НЕОБХОДИМА КОНСУЛЬТАЦИЯ СПЕЦИАЛИСТА.